Replacing all teeth in upper jaw.

img

Patient had difficulty tolerating conventional upper denture due to severe gag reflex.

img

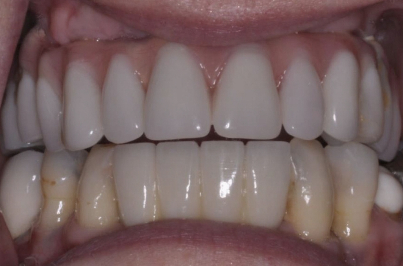
Five implants were placed and a fixed acrylic bridge was fabricated.

img

It provides good function as patient still has most of his natural teeth in lower jaw.

img

Patient is delighted to get good aesthetics. His speech is improved with this type of bridge as it does not cover the palate.

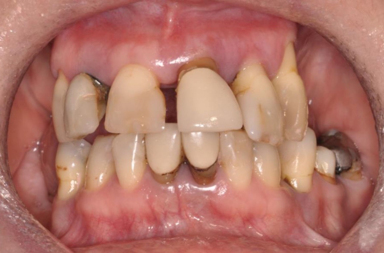
Replacing failing teeth due to gum disease.

img

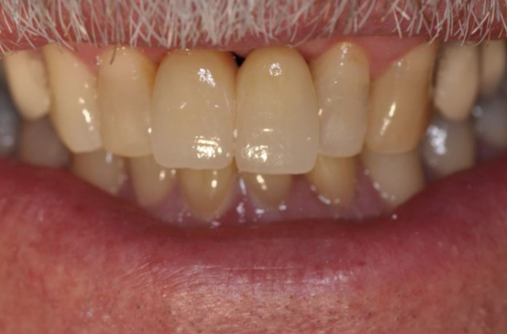
Patient had long term gum disease in upper and lower jaw.

img

All the upper teeth had poor bone support and had to be removed.

img

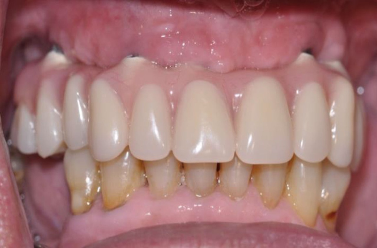
Upper acrylic fixed bridge was fitted on five implants. Lower front teeth were replaced with ceramic bridge on two implants.

img

Patient is delighted to have her original smile and confidence back!

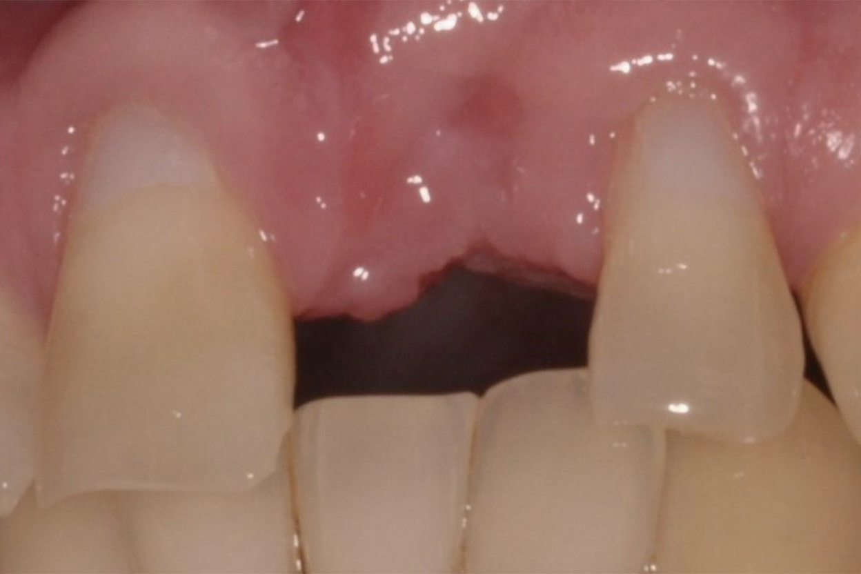
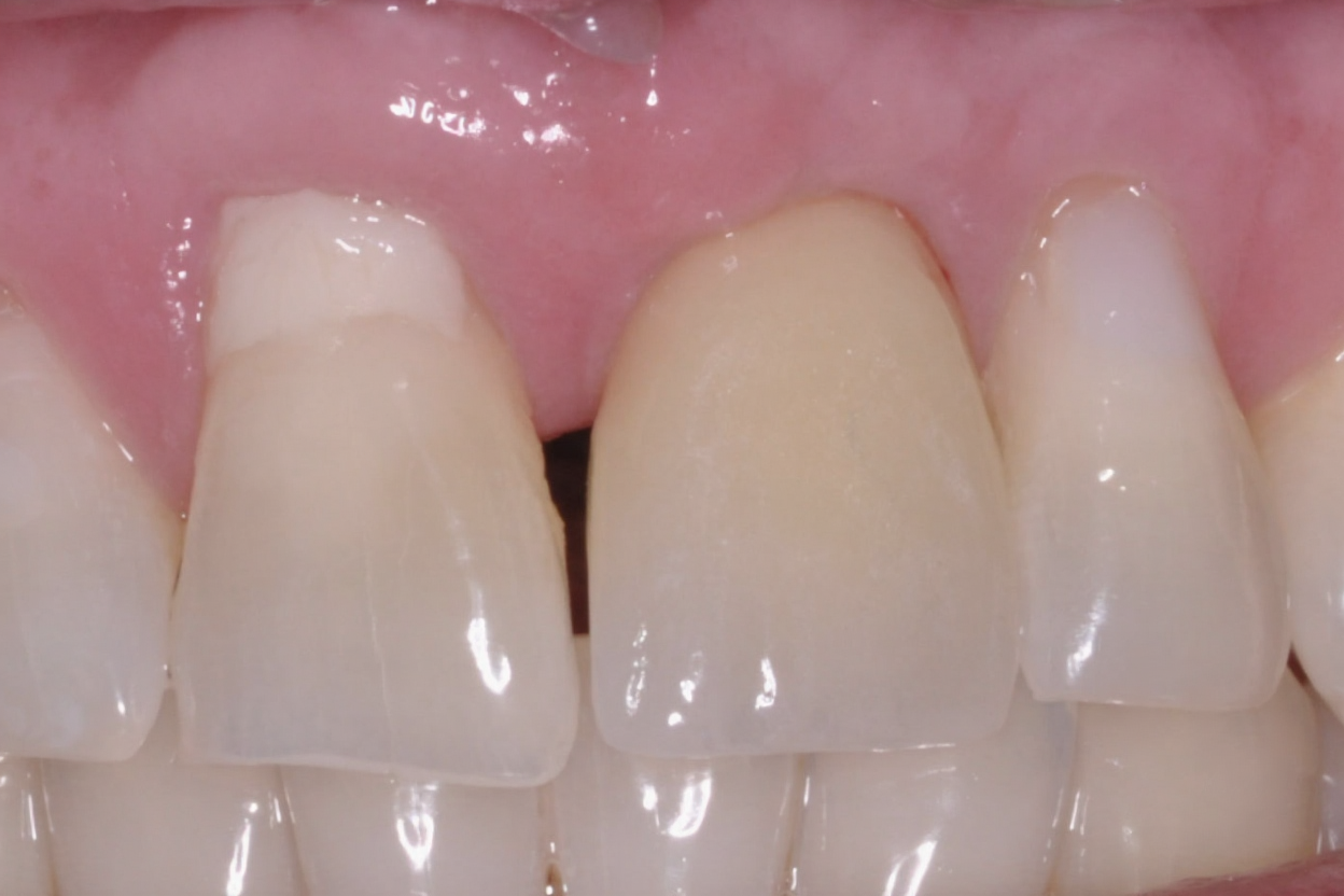
Replacing two teeth gap with single implant.

Two front teeth lost due to trauma.

img

Patient wanted to get fixed replacement of the front two missing teeth.

img

A single implant was placed and after 2 months restored with a cantilever two teeth bridge.

img

Patient lost two front teeth due to sports injury.

img

Restored with two implants supported crowns.

Failing upper front teeth.

img

Patient had old crowns on front teeth which were discoloured and had fractured multiple times.

img

Four front teeth were removed, and patient was given a temporary denture for 2 months until the tissue healed.

img

Two implants were placed.

img

Patient happy to get her nice, pleasing smile back.

Replacing central incisors.

Replacing canine.

img

Patient lost front tooth due to trauma.

img

A single implant was placed and restored with ceramic crown after 2 months.

img

Patient had lost his canine which was root filled and hence a weak tooth.

img

Patient was delighted to get the exact match in shade with adjacent teeth.

Go Back Top